Add a natural glow
to your smile
Sophistication
without limits
D2 Dental's illuminate is the extreme precision
workmanship, so when used in the final prosthesis,
due to its high elasticity, we achieved manufacturing an area within 0.4mm
using Nano ceramic hybrid, an advanced material that resists fracture.
For the proximal margin, it is manufactured to
within 0.03mm using precise 100% handmade techniques.
Implementing
natural texture
D2 Dental's illuminate naturally expresses
the texture of the tooth surface with
the sensibility of Korea's top level CAD/CAM designers,
and the sophisticated proximal margin makes
it feel like it’s your own tooth.
Illuminate boasts a high level of satisfaction from its customers.
Business with dentistry
D2 Dental's illuminate is a 100% non-prep procedure
that dramatically increases
the value of your dental chair time.



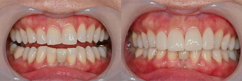
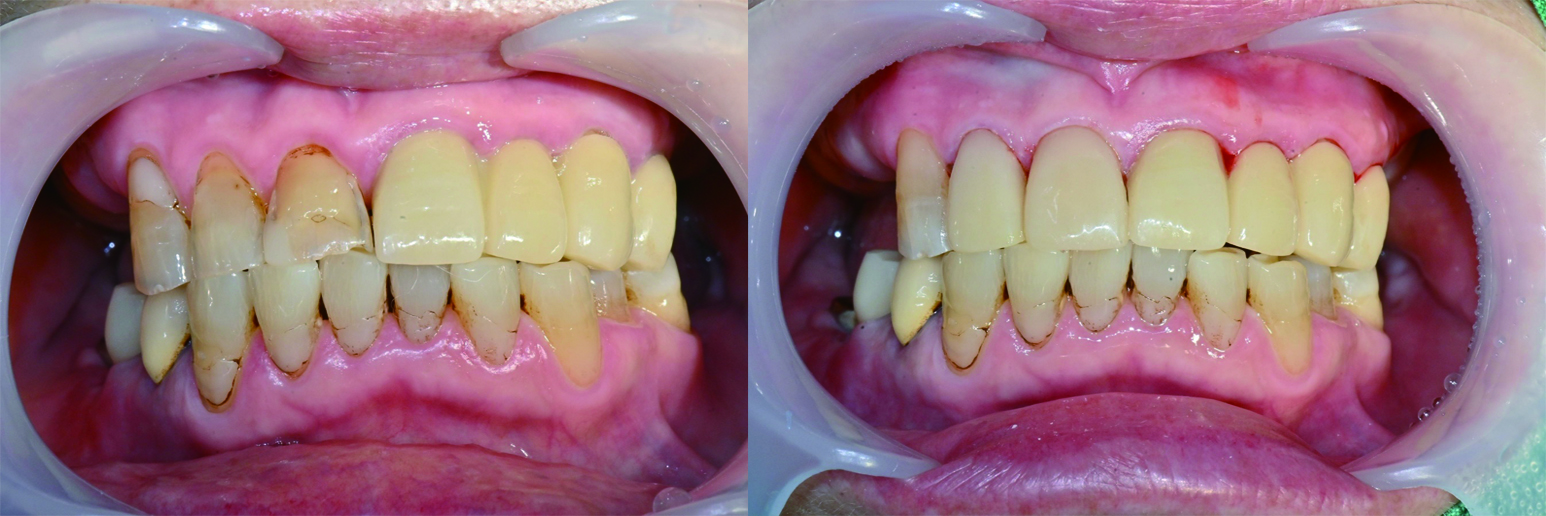
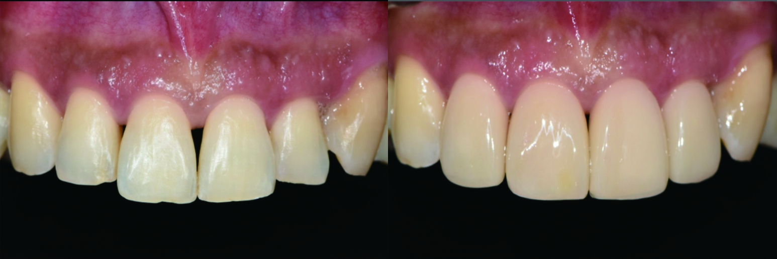
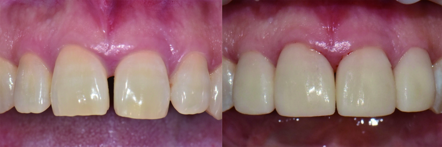
Treatment Case
Illuminate Gallery


















and pursue leading aesthetic procedures.
- #514, 2 Gasan Digital 1-ro, Geumcheon-gu, Seoul, korea
- CEO. Joo hyeon - Jo
- Business registration number. 760-81-03302
- TEL. +82.2.2135.2857
- FAX. +82.2.2135.2864








Kakao channel
Consultation inquiry